By Quinn Strenn, MD
Edited by Hani I. Kuttab, MD
Clinical Case
A young female with no significant past medical history presented to the emergency department (ED) with one day of nausea and vomiting. The patient also reported a one-month history of progressive left lower quadrant abdominal pain with associated vaginal spotting. Vital signs were normal and the patient had a benign abdominal exam. Urine pregnancy testing resulted and is positive. Being an astute emergency medicine physician, you decide to pursue a bedside ultrasound to evaluate for the presence of an intrauterine pregnancy (IUP). The patient’s bladder is full; you proceed with a transabdominal ultrasound, which does not show a clear intrauterine pregnancy. (Figure 1)
In the ED, the goals of early pregnancy ultrasound includes:

- Identification of free fluid in the pelvis. Large amounts of free fluid without IUP should be considered a ruptured ectopic pregnancy until proven otherwise. This may expedite OB consultation and reduce the time to operative intervention.
- Identification of intrauterine pregnancy. Identification of an intrauterine pregnancy, defined as a gestational sac with a yolk sac, suggests against an ectopic pregnancy. If a yolk sac is not seen, this should be termed “pregnancy of unknown location.”
- Measurement of the fetal heart rate. This should be accomplished with M-mode and not pulse wave doppler.
- Estimation of gestational age. This can be accomplished by measuring the size of the gestational sac, crown-rump length, or other methods. Check your machine’s specific OB settings.
The decision was made to proceed with a transvaginal ultrasound for confirmation of an intrauterine pregnancy. (Figures 2 and 3).
|
|
|
Diagnosis
Intrauterine Pregnancy. Transvaginal ultrasound revealed a gestational sac with a yolk sac— by definition, this meets criteria for an intrauterine pregnancy. Fetal cardiac activity was noted with a fetal heart rate of 155 beats/minute. Trace free fluid was noted in the pelvis.
Measurement of the endomyometrial mantle
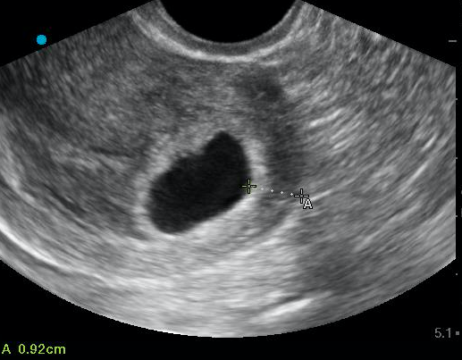
After visualizing the gestational sac and yolk sac, take it one step further and measure the endomyometrial mantle. This ensures that the growing fetus has enough uterus around it to support the growth of the pregnancy. There are several locations an ectopic pregnancy can occur (Figure 4), and 3% of ectopic pregnancies are actually interstitial pregnancies. These are tricky— the pregnancy appears to be intrauterine; however, the pregnancy is actually located in the portion of the fallopian tube that contains myometrium. These types of pregnancies allow for painless growth and expansion and may proceed into the second trimester prior to rupture. These types of ectopic pregnancies have a high mortality rate; hemorrhagic shock is found in 25% of cases.

The endomyometrial mantle is measured from the edge of the gestational sac to the external uterine wall. The thinnest measured segment is used for reference. An endomyometrial measurement <5-7mm is concerning for an interstitial ectopic pregnancy. Most institutions use a cutoff value of >7-8mm as normal to increase sensitivity and never miss a case, since these can be detrimental. If there is any doubt or concern for interstitial ectopic, confirmatory imaging should be obtained and obstetrics should be consulted.
In our case, the endomyometrial mantle was measured at 9.2mm (Figure 5). The patient was counseled closely on return precautions and expectant management. She was started on prenatal vitamins and scheduled for a follow up appointment with her obstetrics provider in the next several days as an outpatient.
Teaching point
Take your early pregnancy ultrasound to the next level— measure the endomyometrial mantle to assess for the possibility of interstitial ectopics. Values >8-9mm are considered normal and safe for discharge home.
References
- Lewiss RE, Shaukat NM, Saul T. The endomyometrial thickness measurement for abnormal implantation evaluation by pelvic sonography. J Ultrasound Med. 2014 Jul;33(7):1143-6.
- Soriano D, Vicus D, Mashiach R, et al. Laparoscopic treatment of cornual pregnancy: a series of 20 consecutive cases. Fertil Steril. 2008 Sep;90(3):839-43.
- Grant A, Murji A, Atri M. Can the Presence of a Surrounding Endometrium Differentiate Eccentrically Located Intrauterine Pregnancy from Interstitial Ectopic Pregnancy? J Obstet Gynaecol Can. 2017 Aug;39(8):627-634.

